Πίνακας Περιεχομένων
ToggleΟι πιο σημαντικές πληροφορίες του άρθρου με μια ματιά
- Η fusion βιοψία προστάτη είναι η πιο σύγχρονη και ακριβής μέθοδος για τη διάγνωση καρκίνου του προστάτη.
- Συνδυάζει πολυπαραμετρική μαγνητική τομογραφία (mpMRI) και υπερηχογράφημα για στοχευμένη λήψη βιοψιών.
- Ενδείκνυται σε αυξημένο PSA, ύποπτα ευρήματα PIRADS και προηγούμενες αρνητικές βιοψίες.
- Προσφέρει μεγαλύτερη ακρίβεια, λιγότερες άσκοπες βιοψίες και χαμηλό κίνδυνο επιπλοκών.
Σε περιπτώσεις διάγνωσης καρκίνου, δείτε περισσότερα για τη ρομποτική προστατεκτομή!
Τι είναι η Fusion βιοψία προστάτη και πώς γίνεται
H βιοψία προστάτη fusion αποτελεί την πιο σύγχρονη και ακριβής βιοψία για την ανίχνευση καρκίνου του προστάτη. Πρόκειται για μια στοχευμένη βιοψία προστάτη που αυξάνει σημαντικά τη διαγνωστική ακρίβεια.
Πότε διενεργείται η fusion βιοψία προστάτη
- Σε περιπτώσεις ανεβασμένου ειδικού προστατικού αντιγόνου (PSA) ή σε περιπτώσεις ύποπτης ανόδου του (ακόμη κι αν είναι στα όριa < 4ng/ml)
- Σε ασθενής με ύποπτες περιοχές στην πολυπαραμετρική τομογραφία προστάτη (PIRADS score 3-5)
- Σε ασθενείς με ύποπτη δακτυλική εξέταση προστάτη
- Σε ασθενείς με ιστορικό αρνητικής βιοψίας προστάτη αλλά συνεχιζόμενη άνοδο του PSA
Ποια είναι η διαδικασία και πως γίνεται η fusion βιοψία προστάτη
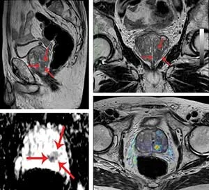
Ο ασθενής λαμβάνει πρώτα μια μαγνητική πολυπαραμετρική τομογραφία προστάτη (mpMRI) που εντοπίζει ύποπτες εστίες, οι οποίες θα μπορούσαν να είναι καρκινικές βλάβες.
Η πιθανότητα αυτή εκτιμάται με το score PIRADS (Prostate Imaging-Reporting and Data System). To score PIRADS είναι ένα σύστημα αξιολόγησης που χρησιμοποιούνε οι ακτινολόγοι και λαμβάνει τιμές από 1-5 για να αξιολογήσουν την πιθανότητα ύπαρξης κλινικά σημαντικού καρκίνου στον προστάτη, βάσει των ευρημάτων μιας πολυπαραμετρικής μαγνητικής τομογραφίας (mpMRI).

Βιοψία συστήνεται από PIRADS-score μεγαλύτερο ή ίσο του 3; η πιθανότητα καρκίνου προστάτη κυμαίνεται από 25% (PIRADS 3) έως 80% (PIRADS 5).
Οι εικόνες της μαγνητικής τομογραφίας με ένα ειδικό λογισμικό μεταφέρονται στο σύστημα υπερήχου (σύντηξη = fusion), με το οποίο διενεργείται η στοχευμένη fusion βιοψία προστάτη.

Τι είναι το PIRADS score στη μαγνητική προστάτη
Το PIRADS-score δεν αποτελεί διάγνωση αλλά εκτίμηση πιθανότητας καρκίνου. Η τελική αξιολόγηση γίνεται με τη βιοψία προστάτη.
Πλεονεκτήματα της fusion βιοψίας προστάτη
- Η ακρίβεια της λήψης των βιοψιών και η ανίχνευση καρκίνου σε πρώιμο στάδιο
- Μείωση της πιθανότητας 2η βιοψίας, αφού τα αποτελέσματα είναι ακριβή
- Ακριβής αξιολόγηση του φορτίου του καρκίνου που είναι σημαντικός ιδίως σε περίπτωση χειρουργείου (διατήρηση νεύρων στύσης κτλ).
- Συνήθως απαιτούνται λιγότερες βιοψίες διότι πρόκειται για στοχευμένες βιοψίες
- Διενεργείται διαπερινεϊκά οπότε ο κίνδυνος προστατίτιδας είναι σχεδόν μηδενικός.
- Λόγω της διαπερινεϊκής προσπέλασης δεν απαιτείται η προετοιμασία του εντέρου όπως και η λήψη αντιβιοτικών μέρες πριν την βιοψία

Πιθανές επιπλοκές της fusion βιοψίας προστάτη
- Αίμα στα ούρα, το οποίο είναι κάτι παροδικό
- Δυσκολία στην ούρηση με πιθανή επίσχεση ούρων που χρήζει τοποθέτησης ουρηθρικού καθετήρα. Η πιθανότητα είναι μικρότερη του 5%. Αυτό οφείλεται στο οίδημα που δημιουργείται από την βιοψία ή/και σε βιοψίες κοντά στην ουρήθρα.
- Προστατίτιδα, που η πιθανότητά της είναι σχεδόν μηδενική με την περινεϊκή βιοψία
Συχνές Ερωτήσεις για Fusion Βιοψία Προστάτη (FAQ)
Πονάει η fusion βιοψία προστάτη;
Η διαδικασία γίνεται συνήθως με αναισθησία, οπότε ο πόνος είναι ελάχιστος έως μηδαμινός.
Πόσο αξιόπιστη είναι η fusion βιοψία προστάτη;
Η ακρίβεια είναι σημαντικά υψηλότερη σε σχέση με την κλασική βιοψία, καθώς πρόκειται για στοχευμένη διάγνωση καρκίνου προστάτη.
Χρειάζεται προετοιμασία πριν τη βιοψία προστάτη;
Στη διαπερινεϊκή fusion βιοψία δεν απαιτείται ειδική προετοιμασία εντέρου ή προληπτική λήψη αντιβιοτικών για ημέρες πριν.
Πότε βγαίνουν τα αποτελέσματα;
Τα αποτελέσματα της βιοψίας προστάτη συνήθως είναι διαθέσιμα μέσα σε λίγες ημέρες, ανάλογα με το εργαστήριο.
Είναι απαραίτητη μετά από αυξημένο PSA;
Όχι πάντα, αλλά όταν συνδυάζεται με ύποπτα ευρήματα (π.χ. PIRADS ≥3), η fusion βιοψία είναι η πλέον ενδεδειγμένη εξέταση.